受託試験の概要

2025年12月より
キャンペーン期間につき、
各種試験40%割引にて承ります

実験用4.7 T、9.4 Tおよび臨床用3T MRIを用い、動物に苦痛を与えず創薬研究における薬効薬理、体内動態などを経時的に観察します。また、プラスチック、食品などにおける組織分析を行います。

受託研究分野

創薬研究、生物学・医学的基礎研究

・マウス、ラット、霊長類動物などの動物の解剖学的および生理学的評価
fMRI、rsfMRI、VBM、DTI(脳機能評価)
・プラスチック、植物、食品研究
・MRI造影剤開発のコンサルタント
・その他(経時的評価)

創薬研究、生物学・医学的基礎研究における受託試験の紹介

fMRI、Resting state fMRIの例

小動物のfMRI

ラットのDMN(Default Mode Network)の画像

生理学的評価の例

ラット心臓・脳脊髄液のシネ画像

トリガーからパルス起動までの時間を変化させ、それを編集することで心臓が動いているようなシネ画像を撮ることもできます。

Perfusion 画像

腎臓の血流評価

脳内点状出血など特殊な対象の例

ラット脳の出血性ストロークの画像

右の側頭部の出血に伴い、同部位での信号強度が上昇しています。
(Insight neuroimaging のご好意により掲載)

CEST法による画像(ラット膝軟骨GAG濃度測定、pHの測定)

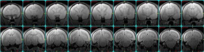
解剖学的評価の例

ヒトの指先の輪切りの画像

爪(青の矢印)がはっきりわかります。結構内部まで入り込んでいるのがわかります。
(産業技術総合研究所 多田充徳博士のご好意により掲載)

コモンマーモセットの脳の画像

コモンマーモセットの前額断T2強調画像

その他の試験の紹介

BioViewで可能な測定

・生体機能イメージング(BOLD効果、血流速度、拡散係数、心臓シネ画像など)
・数10ミクロンの空間分解能を有するマイクロイメージング
・軟骨、涙、褐色脂肪、脳内点状出血など特殊な対象
・プラスチックの非破壊検査
・MRI造影剤評価とコンサルタント
・その他

実験用MRI測定のメリット

1) 3次元化(あらゆる角度から繰り返し観察すること)が可能です。

2) 体積の測定(内蔵などの体積を生きている体内の状態で測定すること)が可能です。

3) 経時変化(繰り返し測定できる)を追うことが可能です。

4) 試験方法をヒトの臨床試験に応用することができます。

受託試験のお問い合わせ

BioView株式会社 神戸研究所
TEL:078-754-9352 
FAX:03-6368-4842(Inter Fax)
お問い合わせフォームはこちらをクリック
お電話でのお問い合わせは、平日11時~17時の間にお願いします。