脳機能評価試験の概要

2025年12月より
キャンペーン期間につき、
各種試験40%割引にて承ります

MRIを用いて非侵襲的に脳の活動状態、脳の局所体積や神経線維の走行の評価を行っています。​また、それらの試験における実験立案、測定実施、データ解析を個々に受託いたします。​

試験可能対象

ヒト、マウス、ラット、霊長類動物​

可能な測定および解析方法

・fMRI(functional MRI)
・rs-fMRI(resting state fMRI)
・VBM(voxel based morphometry)
・DTI(diffusion tensor image)     など

受託試験内容

・実験の立案およびそのプログラミング
・測定の実施
・データ解析​

脳機能評価試験の紹介

fMRI(functional MRI)​

脳の生理機能を測定する技術です。脳の神経活動によって変化する血流動態や代謝産物による信号差を画像化します。
特定のタスクを実行しているときの脳の生理機能の変化を可視化することができるので、神経科学や心理学など多くの研究に利用されています。​​

刺激によって脳のどの領域が興奮しているかを表しています。
上:ラット左後肢への疼痛電気刺激における脳の反応領域を評価
下:ラット右眼への光刺激における脳の反応領域を評価​

rs-fMRI(resting state fMRI)​

安静時における脳の神経活動を測定する技術です。脳領域間における機能的結合や安静時の神経活動(デフォルトモードネットワークなど)の観察に用いられています。
神経科学や心理学、臨床医学など多くの研究に利用されています。​

安静時における脳領域間の機能的結合を評価しています。(Functional Connectivity)
​アカゲザルの特定の脳領域(**)に対して相関がある脳領域を評価しています。​

第三の男(器楽演奏)
無音
ヘイ・ジュード(器楽演奏+歌)

音楽を聞いて脳が反応する様子を周波数別に評価しています。
(Independent component analysis of functional MRI)

VBM(voxel based morphometry)

脳全体をボクセルベースで組織分類し統計的手法を用いて脳の体積や構造の変化を測定評価する解析技術です。​
VBMは神経科学や臨床研究において疾患や障害と関連する脳の構造的な変化の特定に用いられています。​
また、fMRIやPET(positron emission tomography)などと合わせて脳機能と脳構造の関係を理解するために用いられることもあります。

咀嚼運動に対する海馬体積の変化を評価しています(日本大学松戸歯学部とBioViewの共同研究)。​
(ヒト (n=6) の グループ解析結果)​

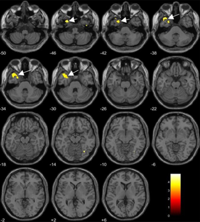
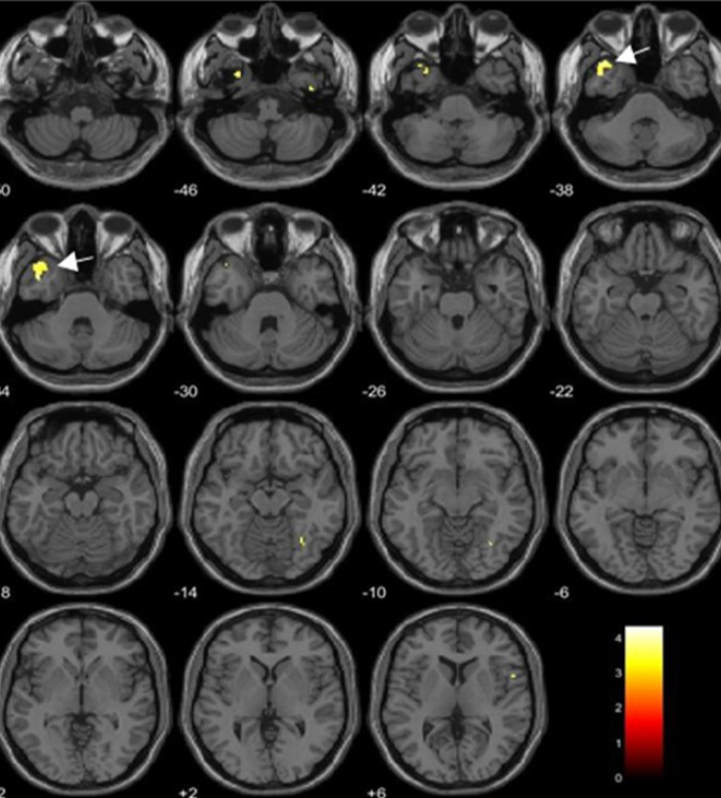
ダイオキシンの血中濃度と脳体積の相関について評価しています。
有意な負の相関を示す脳領域(p < 0.05でFDR補正)を黄色と矢印で示しています。
左:ダイオキシン類の1つであるTCDDの血中濃度と脳体積の相関を評価
右:ダイオキシン類の1つであるPCDDの毒性を1としたときの毒性当量(TEQ-PCDD)の血中濃度と脳体積の相関を評価

Alterations in Regional Alterations in Regional Brain Regional Volume Associated with Dioxin Exposure in Men Living in the Most Dioxin-Contaminated Area in Vietnam: Magnetic Resonance Imaging (MRI) Analysis Using Voxel-Based Morphometry (VBM) より引用​

DTI(diffusion tensor image)

脳の神経繊維の配向や経路を画像化し評価する技術です。神経科学、臨床研究、発達研究などで用いられています。​
脳内の水分子が神経線維に沿ってどのように拡散するかを拡散強調画像で測定し、その方向性を三次元的にモデル化し脳内の神経線維の配向や構造を推定します。​
VBMと同様に、fMRIやPETなどと合わせて脳機能と脳構造の関係を理解するために用いられることもあります。

ダイオキシン曝露レベルと左側の海馬領域における神経繊維(黄色)について評価しています。
上:ダイオキシン類の1つであるTCDDの血中濃度が高いグループの評価
下:ダイオキシン類の1つであるTCDDの血中濃度が低いグループの評価​

Impacts of dioxin exposure on brain connectivity estimated by DTI analysis of MRI images ​in men residing in contaminated areas of Vietnam より引用

脳機能評価試験の解析について

ADC、FA、Fiber tracking、Q-ball、GLM、ICA、ALFF、​Functional connectivity、FC Cross correlation 解析​など、試験ごとに適切な解析をおこないます。
​データ解析のみの受託も承っています。​

脳機能評価試験のお問い合わせ

BioView株式会社 神戸研究所
TEL:078-754-9352 
FAX:03-6368-4842(Inter Fax)
お問い合わせフォームはこちらをクリック
お電話でのお問い合わせは、平日11時~17時の間にお願いします。